Hals- und Wirbelfrakturen durch Stürze bei hoher Geschwindigkeit zählen bei Rennpferden zu den häufigsten Verletzungen. Dr. Fabrice Rossignol, Fachtierarzt und Pferdechirurgen in der Klinik Grosbois, behandelt jährlich einige Fälle von verletzten Rennpferden.
Pferdehalsfrakturen werden oft mit einer Kombination aus konventionell gefertigten Kompressionsschrauben, dorsaler Laminektomie oder ventralen Wirbelfusionen mit „Körbchen“ oder verschraubten, zylindrischen Zervikalkäfigen (s.g. Cages) stabilisiert. Weitere Behandlungen wie „Locking Compression Plate“ (LCP)-Implantate bei Frakturen oder Verschiebungen führen selten zum Erfolg. Die sehr teure Rehabilitation vor allem bei einem offenen Bruch ist schwierig. Pferde können außerdem nicht monatelang liegen. Diese Faktoren bringen die Besitzer dazu, sich eher für das Einschläfern zu entscheiden und dem Pferd einen langen Leidensweg zu ersparen. Dr. Rossignol machte sich auf die Suche nach einer besseren Lösung.
Titan-3D-Druck als Lösung
Mit seinem Kollegen Martin Genton, Ariane Campos Schweizer und dem Team von 3D Medical entwickelte er eine bessere Lösung, die von Kevin Giffoni designt wurde.
Vincent Nuttens, CEO von 3D Medical, erklärt in einer Mitteilung an das 3D-grenzenlos Magazin:
„Wir hatten am Ende drei neuartige Prothesen, die den Heilungsprozess verbessern und hoffentlich für möglichst viele Tiere zu einem positiven Behandlungsergebnis führen werden.“
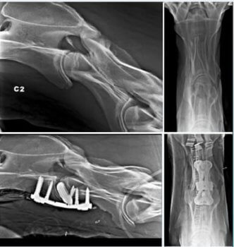
Während der Operation wird das Pferd anästhesiert und in einer chirurgischen Hängematte immobilisiert. Eine mit dem 3D-Drucker hergestellte Platte und 3D-gedruckte Spongiosaschrauben stabilisieren den Bruch und überbrücken die Wirbel. Abhängig von den betroffenen Wirbeln wird im ventralen Bandscheibenbereich ein kleiner 3D-gedruckter Cage aus Titan eingesetzt.
Zur Kompression des gebrochenen Fragments wird manchmal eine Kombination aus Spongiosa- oder Kortikal- und Verriegelungsschrauben verwendet. Dadurch kann ein mit 3D-Druck hergestellter Bandscheiben-Spacer aus Titan mit seiner Kompressionskraft den Abstand zwischen den Wirbeln aufrechterhalten. Das verhindert, dass die Bandscheibe in den Markkanal ragt und der kaudale Wirbel sich ventral verschiebt.



Zusammenspiel von Schrauben und 3D-Druck-Platte
Die Form der Platte ermöglicht die Platzierung der drei Schrauben in jedem Wirbel. Titan-Implantate ermöglichen eine bessere Osseointegration als Stahlimplantate. Mit dem Metall-3D-Druck können poröse Strukturen angefertigt werden, die das durch den Cage hindurch und die Fixierung des Knochens am Cage erleichtern.

Die eingesetzten Schrauben sind selbstschneidend und teils selbstbohrend, was in der Nähe des Markkanals eine maximale Verankerung zulässt und die Gefahr der Perforation beim Bohren und Schneiden reduziert. Das Risiko lässt sich Rossignol zufolge mit einer Redondrainage begrenzen. Kommt es zum Lösen oder Herausziehen der Schrauben, ist das eher ein technischer Fehler oder mangelhafter Kontakt der Platte zur Knochenoberfläche.
Rossignol erläutert:
„Die drei Kernmerkmale und Vorteile des 3D-Metallimplantats sind der präzise maßgeschneiderte 3D-Druck und die Widerstandsfähigkeit gegen Kraft und Gewicht (ein Pferd wiegt erheblich mehr als ein Mensch) sowie die postoperative Mobilität des Tieres.“
Bisher sind bei diesem Eingriff, der unter Röntgen- oder Durchleuchtungskontrolle durchgeführt wird, nur wenig Komplikationen aufgetreten, wie die Bildung von Seromen oder das Lösen von Schrauben. Diese Methode ist bei zervikaler Arthrodese oder im Fall eines Traumas geeignet, aber auch bei Fehlstellungen.


Nach der Operation verbringen die Pferde einen Monat im Stall. Sie erhalten anschließend geführtes Gehtraining und werden auf der Koppel rehabilitiert. Zwischen dem fünften und achten Monat kann das Pferd nach klinischer und radiografischer Überprüfung allmählich an normale Aktivität gewöhnt werden.
GE Additive ist auch auf der formnext 2021 vertreten. Noch bis zum 19. November finden Sie das Unternehmen in Halle 11.0, Stand E12.
