Wissenschaftler des Wake Forest Institute for Regenerative Medicine (WFIRM) haben ein mobiles 3D-Biodrucksystem entwickelt, das es ermöglicht, zweischichtige Haut direkt in eine Wunde zu drucken. Und zwar direkt am Platz des Patienten. Das Team, das seine Ergebnisse am 12. Februar in Scientific Reports unter dem Titel „In Situ Bioprinting of Autologous Skin Cells Accelerates Wound Healing of Extensive Excisional Full-Thickness Wounds“ veröffentlichte, entdeckte, dass diese Art der Behandlung, bei der patienteneigene Zellen neue Haut „drucken“ würden, bei der Heilung großer Wunden oder Verbrennungen hilft. Besser noch, das gesamte Bioprintingsystem ist mobil, was bedeutet, dass es zur Wundbehandlung bis ans Bett gefahren werden kann.
Medizinischer Hintergrund
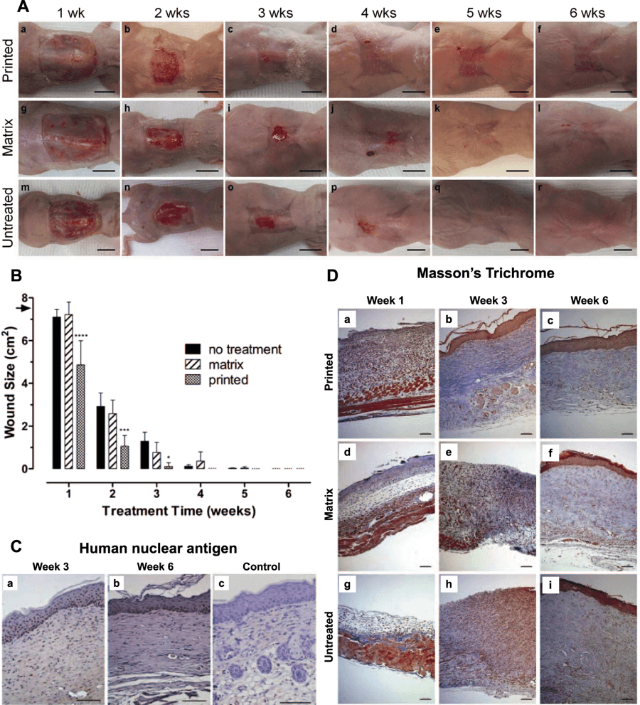
Das Team berichtet, dass die wichtigsten Hautzellen – dermale Fibroblasten und epidermale Keratinozyten – leicht aus einer Probe des unverletzten Gewebes des Patienten isoliert werden können. Fibroblasten sind Zellen, die die extrazelluläre Matrix und Kollagen synthetisieren, die eine entscheidende Rolle bei der Wundheilung spielen, während Keratinozyten die dominierenden Zellen in der Epidermis, der äußersten Schicht der Haut, sind.

Vorgehen
Die neue Technologie ist beeindruckend. Die Forscher demonstrierten den Proof-of-Concept des Systems, indem sie die Haut direkt auf präklinische Modelle druckten. Zunächst wird die aus diesen Zellen und einem Hydrogelsubstrat bestehende Tinte in den 3D-Biodrucker eingebracht. Anschließend wird die integrierte Bildgebungstechnologie mit einem Gerät, das die Wunde abtastet und die Daten in die Software einspeist, um den Druckköpfen mitzuteilen, wo sie die Zellen Schicht für Schicht in die Wunde liefern sollen. Das Team stellte fest, dass dieses System die Bildung einer normalen Hautstruktur und -funktion repliziert und beschleunigt.
Test am Menschen
Der nächste Schritt ist die Durchführung einer klinischen Studie am Menschen. Während Hauttransplantate derzeit zur Behandlung von Wunden und Verbrennungen eingesetzt werden, ist eine ausreichende Abdeckung der Wunden oft eine Herausforderung, insbesondere wenn die Verfügbarkeit gesunder Haut zur Ernte begrenzt ist. Hauttransplantate von Spendern sind eine Option, aber es gibt immer das Risiko, dass Spendertransplantate vom Patienten abgelehnt werden. Und auch Hauttransplantationen erzeugen Narben.
Mit dem Biodrucksystem WFIRM 3D konnten die Forscher sehen, wie sich von der Wundmitte aus neue Haut bildet, und das geschah nur bei Verwendung patienteneigener Zellen, da das Gewebe akzeptiert und nicht abgelehnt wurde.
» Über die weitere Entwicklung beim Bioprinting berichten wir auch zukünftig im kostenlosen 3D-Druck-Newsletter (jetzt anmelden).








