Stratasys Ltd., ein führender Anbieter von Polymer-3D-Druck- und additiven Fertigungslösungen, hat eine Partnerschaft mit Siemens Healthineers in einer Pressemitteilung angekündigt. Ziel des Projekts ist die Entwicklung neuer Lösungen zur Verbesserung von medizinischen Bildgebungsphantomen für die Computertomographie (CT).
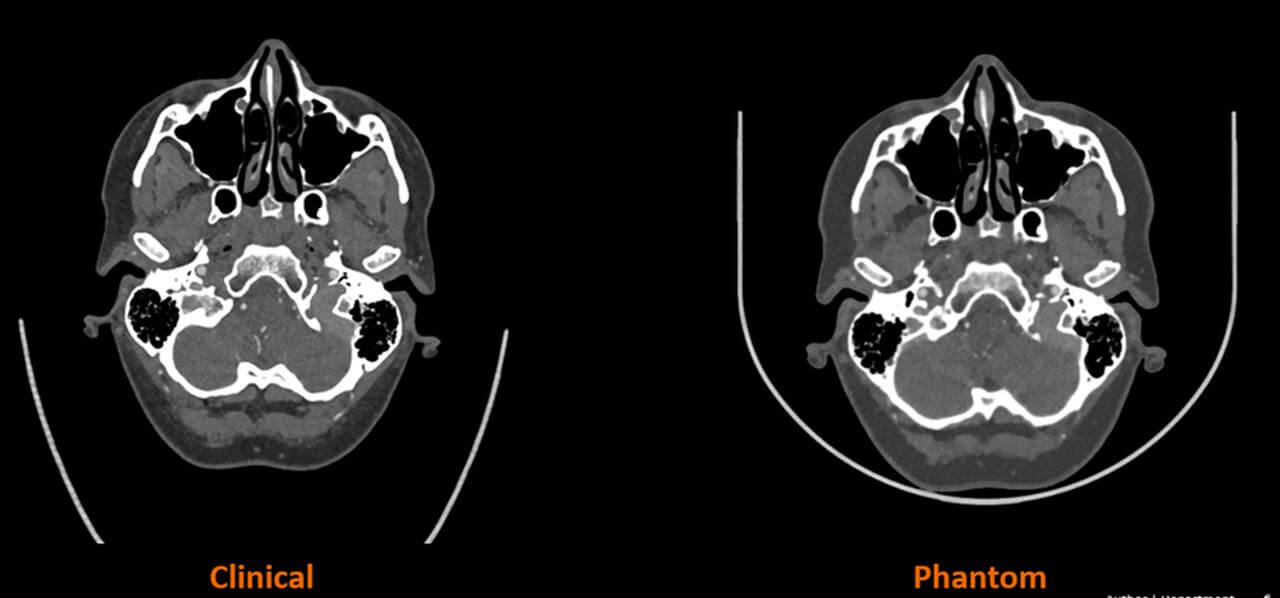
CT-Phantome sind spezialisierte Geräte, die weltweit in Krankenhäusern eingesetzt werden, um die Leistung von CT-Scannern zu bewerten und sicherzustellen. Sie simulieren bestimmte Merkmale des menschlichen Körpers und ermöglichen die Beurteilung verschiedener Kernmetriken, darunter Strahlendosis und Bildqualität. Diese Entwicklung nutzt Stratasys‘ PolyJet™-Technologie in Kombination mit seiner einzigartigen RadioMatrix™-Technologie und dem fortschrittlichen Algorithmus von Siemens Healthineers, um gescannte Patientenbilder in spezifische Materialeigenschaften mit der Radiopazität der menschlichen Anatomie zu übersetzen. Die Lösung wird eine maßgeschneiderte Herstellung von Phantomen und die Erstellung von ultra-realistischen Merkmalen der menschlichen Anatomie mit vollständiger radiographischer Genauigkeit der patientenspezifischen Pathologie ermöglichen, was zuvor nicht möglich war.

Dieses Projekt wird die Art und Weise, wie Phantome im medizinischen Bereich genutzt werden können, verändern. In bestimmten Fällen könnte es Geräteherstellern und akademischen Einrichtungen sogar ermöglichen, menschliche Leichen durch 3D-gedruckte Strukturen zu ersetzen. Diese Fähigkeit ermöglicht kritische Effizienzsteigerungen und minimiert unvermeidliche menschliche Variabilitäten. Die Arbeit wird auch einen wichtigen Forschungsdatensatz liefern, der wichtige Einblicke für die Weiterentwicklung von CT-Systemalgorithmen, die Entwicklung von Materialien und das Erschließen potenziell neuer Anwendungsbereiche bietet – sowie zukünftige Forschungsmöglichkeiten identifiziert.
Stimmen der Verantwortlichen
Erez Ben Zvi, Vice President Medical bei Stratasys, erklärte:
„Die aktuellen Einschränkungen von Bildgebungsphantomen waren eine langjährige Herausforderung für die Radiologie-Gemeinschaft. Diese Partnerschaft mit Siemens Healthineers wird es uns ermöglichen, gemeinsam die umfangreichen Möglichkeiten unserer radiopaken Materialien und 3D-Drucktechnologien zu erforschen, um diese Barrieren zu überwinden.“
Die Forschung beginnt mit der Herstellung von 3D-gedruckten Phantomen für kleinere anatomische Strukturen wie Kopf und Hals und wird sich auf die Herstellung von zunehmend größeren und komplexeren Anatomien erstrecken, bis hin zum Phase-One-Endpunkt des 3D-Drucks eines Herzmodells und eines gesamten menschlichen Torsos mit vollständiger radiographischer Genauigkeit.
Lampros Theodorakis, Leiter des Produkt- und klinischen Marketings für Computertomographie bei Siemens Healthineers, fügte hinzu:
„Das aus diesem Projekt gewonnene Wissen stellt einen Durchbruch in der medizinischen Bildgebung dar und wird neue Anwendungsmöglichkeiten für 3D-Druck und Bildgebung eröffnen. Wir freuen uns auf die Möglichkeiten, die sich aus dieser Partnerschaft ergeben, und glauben, dass sie langfristige Auswirkungen auf medizinische und akademische Anwendungen haben wird.“






