Ein neuer Bericht von Medical Dialogues zeigt, dass ein Trauma-Patient mit einem kritischen tibialen Knochendefekt erfolgreich mit dem größten jemals gedruckten 3D-Käfig behandelt wurde. So heißt es in einem wissenschaftlichen Artikel mit dem Titel: „Dreijährige Nachuntersuchung eines traumatischen Tibiaknochendefekts von kritischer Größe, der mit einem 3D-gedruckten Titankäfig behandelt wurde: Ein Fallbericht“ der im National Library of Medicine (NIH) veröffentlicht wurde.
Das Verfahren wurde von einem Team von Orthopäden durchgeführt und führte zu einer signifikanten Verbesserung des Zustands des Patienten.
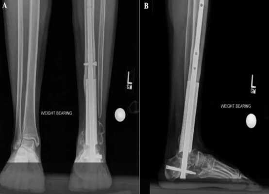
Laut dem Bericht hatte die 21-jährige Patientin einen schweren Verkehrsunfall erlitten, bei dem ein großer Teil seines Tibiaknochens (Schienbein) zerstört wurde. Die Ärzte entschieden sich für eine innovative 3D-Druck-Technologie, um den Knochendefekt zu behandeln.

Der 3D-Käfig wurde speziell für den Patienten entworfen und aus Titan gedruckt. Der Käfig wurde dann während einer Operation in den Defekt eingesetzt, um die Regeneration von Knochengewebe zu ermöglichen.
Die Operation war ein Erfolg und der Patient erholte sich schnell von dem Eingriff. Der 3D-gedruckte Käfig erwies sich als stabil und konnte den Heilungsprozess unterstützen.
Die Ergebnisse dieser Operation zeigen das Potenzial der 3D-Druck-Technologie bei der Behandlung von schweren Knochendefekten auf. Es wird erwartet, dass diese Technologie in Zukunft eine wichtige Rolle bei der Behandlung von Verletzungen und Erkrankungen des Skelettsystems spielen wird. Über weitere Entwicklungen berichten wir auf unserer Themenseite „3D-Druck in der Implantologie“ und im kostenlosen 3D-grenzenlos Magazin-Newsletter (abonnieren).






